Sky Valley Dental
Family Dentistry in Monroe, WA

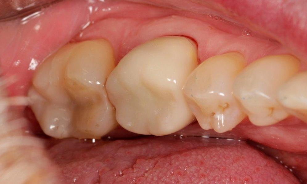
Composite Fillings and CEREC Same Day Crown

Our patient presented with multiple teeth that were causing him discomfort to biting and sensitivity. These teeth had old silver fillings that he had done decades ago. Over time these fillings started to break down and led to severe cracks in his teeth. Using a combination of white composite filling and our CEREC same-day crown technology, our patient left with beautiful healthy teeth that turned the clock back a few decades in one visit!

Related Services:

Crowns & Bridges
New Crown and Veneer for Patient in Under Two Hours With CEREC Technology
Ready to book an appointment?
If you have difficulty using our website, please email us or call us at (360) 794-5788
View the ADA Accessibility Statement