Sky Valley Dental: Yunki Cho, DDS
Family Dentistry in Monroe, WA

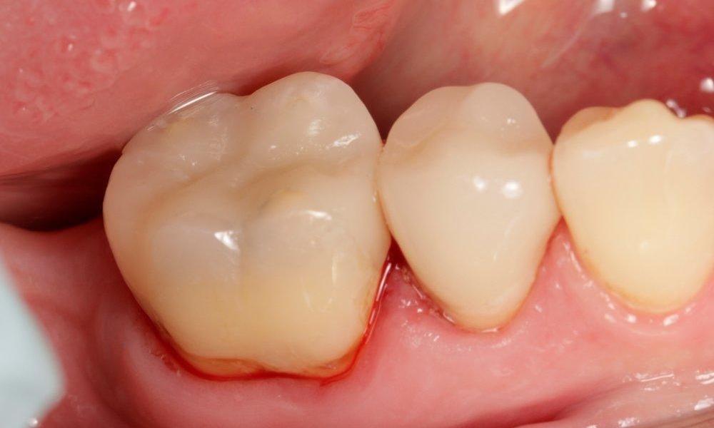
CEREC Same Day Inlay and Crown

Do you have old silver fillings that are starting to stain? Do you have chipped and broken teeth?

It is important to keep these teeth under a close watch during your regular visits to the dentist. These problems can progress to cause larger consequences like tooth infection and even tooth loss! Our patient presented with a tooth with an old silver filling that is breaking down as well a tooth with a large decay and fracture. In addition, due to a gap between her teeth, that area was a constant food trap causing our patient much irritation. In just 2 hours Dr. Cho restored these teeth with a porcelain filling (Inlay) and a porcelain crown, even closing the gap between her teeth!

Related Services:

Crowns & Bridges
Ready to book an appointment?
If you have difficulty using our website, please email us or call us at (360) 794-5788
View the ADA Accessibility Statement